TREATMENT
Child Orthodontics in Sydney
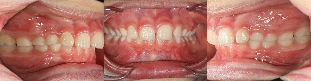
Child Orthopaedic treatment plays a vital role in childhood development. Early evaluation is crucial to assist in correcting growth and jaw development, preventing the need for more serious orthodontic treatment in future.
5 signs that your child may need Orthodontic treatment
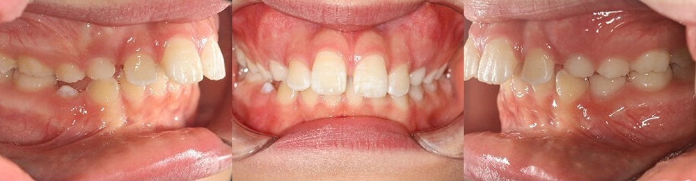
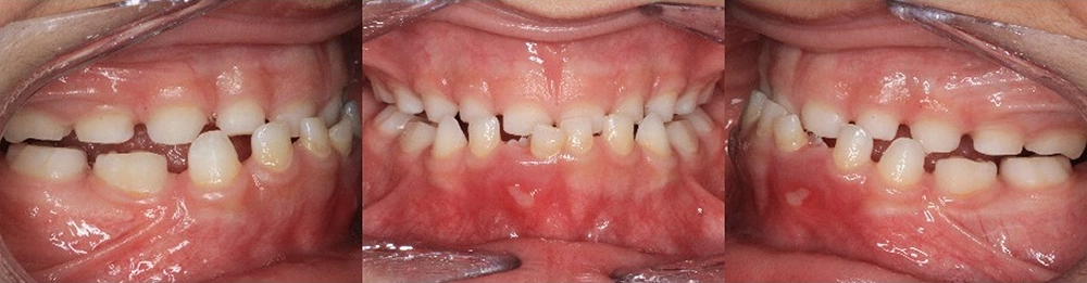
Their teeth are crooked.
This is probably the easiest sign to spot. If some of their teeth are coming through on a particular angle, rotated or overlapping, this might indicate they will need some sort of intervention.
They have an overbite, underbite, open bite, crossed bite.
These problems usually result from a malocclusion (teeth misalignment) or jaw discrepancies. They can arise from genetic factors, bad habits (such as thumb sucking) or trauma. It is a good idea to ensure your kid’s bite is correctly aligned so they don’t develop pain or any additional issues as they grow up.
They have a speech impediment.
A lisp or difficulty speaking can sometimes be caused by a misaligned jaw or crooked teeth. The orthodontist will assess whether it is an issue that can be corrected with orthodontic treatment or if it will require speech therapy.
They snore or have sleep apnea.
As a general rule, kids should not snore whilst asleep. This is often a sign that they need some type of intervention. Professor Ali is widely qualified on the treatment for sleep apnea and has published several articles on this subject. He will be able to assess, sometimes in conjunction with the ENT (Ear, Nose and Throat) specialist and Sleep Physician, the best treatment approach so your kids can have a better quality breathing and sleep.
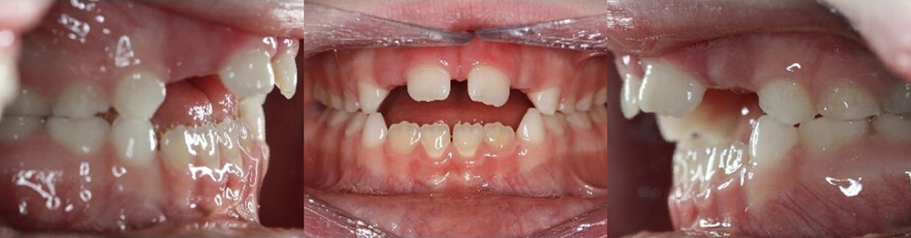
They have lost teeth prematurely.
If your kid lost one or more teeth at a young age, mostly if it is the result of a trauma or poor hygiene, then they may require orthodontic intervention early. Otherwise, the teeth shift as the child grows to fill the gaps of the prematurely lost teeth causing misalignment.
Jaw Discrepancies
Sticking out teeth with gap between the upper and lower teeth
- Can be due to back position of the lower jaw or
- Forward position of the upper front teeth
Jaw discrepancies may be associated with:
- Sleeping / Snoring problems
- Aesthetic issues
- Jaw functioning and chewing issues
These can only be treated with Orthopaedic plates when the child is growing (treatment should start not later than 13 years old). Otherwise, they can be only treated with jaw surgery once they are adults or have ceased growth.
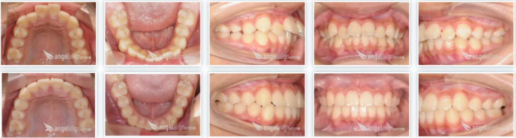
Braces & Invisalign for Kids
Following jaw correction, a child may also need braces. Braces cannot correct jaw problems; they can only make the teeth straight.
For suitable cases, your child may be able to use Invisalign clear aligners that can make teeth straight and correct the jaw problems at the same time. This treatment takes less time and clear aligners are more aesthetic and hygienic as well. They don’t cause irritation either like regular or clear braces for children because they won’t break and won’t hurt.
Treatment Options
Plates
In orthodontics, a plate is a device which fits around the upper teeth, the lower teeth or sometimes both. The plates use wires and springs to gently push the teeth into position, or to retain them in place as the adult teeth erupt into the child’s mouth.
There are also more sophisticated types of plates known as “functional appliances”. These plates change the direction teeth and jaws develop.
Treatment with plates can only be performed in kids during their growth period, therefore it is important to ensure we do not miss the window of opportunity to correct some discrepancies, which later, a lot of times would require surgery to be addressed.
Why Choose Lifestyle Orthodontics for Child Orthodontics?
Expert Care
Led by Professor Ali Darendeliler, our team brings extensive experience in treating children’s orthodontic issues with a gentle and effective approach.
Early Intervention
We follow the Australian Society of Orthodontics’ recommendation for early consultations, typically before the age of 7, to monitor and guide skeletal and oral development.
Comprehensive Treatment Options
From braces and Invisalign to plates and functional appliances, we offer a full range of orthodontic solutions.
THE PROCESS
How Child Orthodontic Treatment Works
STEP 1
Initial Consultation
Schedule a consultation to assess your child’s orthodontic needs and develop a personalised treatment plan.
STEP 2
Early Evaluation
We evaluate your child’s oral development, typically between the ages of 6 and 12, to identify potential issues early.
STEP 3
Customised Treatment Plan
Based on the evaluation, we create a tailored treatment plan using the most suitable orthodontic devices and methods.
STEP 4
Ongoing Monitoring
Regular check-ups to monitor progress and make necessary adjustments to the treatment plan.
STEP 5
Comprehensive Care
We address various issues including crooked teeth, bite problems, speech impediments, snoring, and premature tooth loss to ensure your child’s overall oral health.
FAQS
Frequently Asked Questions
What age should my child see an orthodontist?
The Australian Society of Orthodontics recommends an orthodontic consultation before the age of 7 to monitor and guide correct skeletal and oral development.
What signs indicate my child might need orthodontic treatment?
Signs include crooked teeth, bite issues, speech impediments, snoring, and premature tooth loss.
How does orthodontic treatment help with sleep apnea in children?
Orthodontic treatments can widen narrow airways, improving a child’s ability to sleep and breathe correctly.
What types of braces are available for children?
We offer traditional braces, ceramic braces, and Invisalign clear aligners tailored to children’s needs.
Can orthodontic treatment correct habits like thumb sucking?
Yes, fixed appliances can help correct habits such as thumb sucking and pacifier reliance.
Book a Consultation
For orthodontic care for children in Sydney, trust the experienced team at Lifestyle Orthodontics. Contact us today to schedule a consultation and safeguard your child’s oral development.